Ортодонтическое решение проблемы отсутствующего зуба
ОТСУТСТВУЕТ ЗУБ? Что делать? КАКОВЫ ВАРИАНТЫ РЕШЕНИЯ ПРОБЛЕМЫ? ИМПЛАНТ?…МОСТ?…ИЛИ ЗАКРЫТИЕ ПРОМЕЖУТКА ПУТЕМ ОРТОДОНТИЧЕСКОГО ПЕРЕМЕЩЕНИЯ СОБСТВЕННЫХ ЗУБОВ?!!!
Не секрет, что рано или поздно каждый из нас сталкивается с проблемой восстановления целостности зубного ряда посредством имплантации или мостовидных конструкций. Выбор тактики лечения индивидуален и должен основываться на комплексном анализе клинической ситуации каждого конкретного пациента. Перемещение зубов следующих за удаленным зубом( чаще всего это касается закрытия промежутков от удаленных шестых зубов) позволяет избежать установки имплантатов и обработки зубов под мостовидный протез.
Отсутствие хотя бы одного зуба, в ситуации, когда рациональное протезирование не было проведено своевременно, непременно повлечет за собой деформацию зубных рядов обеих челюстей.
В норме зубы верхней и нижней челюсти соприкасаются друг с другом определенным образом и являются антагонистами. Так, каждый зуб верхней челюсти имеет два антагониста, он соприкасается с одноименным зубом нижней челюсти и зубом, расположенным латерально от одноименного.
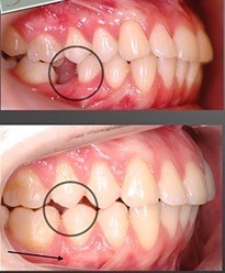
На картинке показан как произошел наклон зубов, расположенных позади промежутка после удаленного нижнего шестого зуба. При этом верхний шестой зуб, “в поисках антагониста”, оказывал избыточную нагрузку на нижние зубы, опускаясь вниз, формировал деформацию верхнего зубного ряда, тем самым усугубляя проблему.
В данных условиях проведение рационального протезирования не представлялось возможным и требовало ортодонтической подготовки. Однако, помимо традиционных вариантов решения подобной проблемы, здесь возможен и альтернативный метод восстановления целостности зубного ряда – ортодонтическое перемещение зубов в зону промежутка после удаления. Именно такая тактика была выбрана в данной клинической ситуации.При таком варианте необходимо обычно переместить седьмой и восьмой зуб на место удаленного шестого при помощи несъёмной брекет- системы .
Следует отметить, что данный вариант решения проблемы отсутствующих зубов, помимо преимуществ, имеет и свой, пожалуй единственный, недостаток – это срок ортодонтического лечения. Зачастую, такая реабилитация, по сравнению с традиционными способами решения подобной ситуации, требует в 2 раза больше времени для ее реализации .При «свежем» удалении шестого зуба, ортодонтическое закрытие промежутка может занимать от 2 до 3.5 лет (на верхней челюсти обычно быстрее, на нижней – дольше) При давнем удалении (больше года) перемещение зубов в область удаления затруднено, так как там уже успела произойти атрофия костной ткани. Поэтому движение происходит медленнее. Чем больше времени прошло с момента удаления зуба, тем медленнее закрывается пространство.
Трудности длительного лечения быстро забудутся и лишь ретейнеры (тонкие металлические проволочки, устанавливаемые ортодонтом на внутренней поверхности зубов для сохранения полученного результата) будут напоминать о проведенном ортодонтическом лечении.
Чтобы исправить подобную деформацию, необходимо проконсультироваться с врачом ортодонтом для определения наиболее подходящей в Вашем конкретном случае тактики лечения.

