Лечение периодонтита современными методами
Периодонт (лат. Periodontium) – комплекс тканей, находящихся в щелевидном пространстве между цементом корня зуба и пластинкой альвеолы. Его средняя ширина составляет 0,20-0,25 мм (Википедия).
В периодонте находятся нервы, кровеносные и лимфатические сосуды, питающие зуб. Основные функции периодонта – трофическая (питание зуба) и амортизирующая: при пережёвывании пищи соединительная ткань амортизирует нагрузки на зуб и равномерно перераспределяет их на кости.
Периодонтит – это воспаление периодонта.
Различают острый и хронический периодонтит. Острый периодонтит встречается реже. Это объясняется тем, что благодаря наличию оттока содержимого периодонтит может длительно протекать без каких-либо признаков заболевания (он протекает, вокруг зуба всё воспалилось, а вы ничего не замечаете).
Причины заболевания
Чаще всего причиной периодонтита является не вылеченный своевременно кариес или некачественно пролеченные корни зубов (инфекционный периодонтит).
Недостаточно тщательно обработанные и запломбированные корневые каналы – это очаг хронической инфекции, готовой обостриться в любой момент. Нередко в таких каналах можно обнаружить обломки инструментария.
Кроме того выделяют травматический и медикаментозный периодонтит. Травматический встречается довольно часто (ушибы, падения), а вот медикаментозный всё реже, так как на сегодняшний день стоматологи всё реже используют для лечения каналов пасты, содержащие мышьяк, фенол и другие опасные препараты.
Симптомы
Периодонтит проявляется резкими болями в области зуба, усиливающимися от прикосновения к нему. Припухлость губы, щеки, десна увеличена, зуб подвижен. Иногда на десне обнаруживается отверстие, из которого вытекает гной. Это свищ, то есть канал, который образовался для оттока содержимого из инфицированной полости.
Хронический периодонтит может появляться в виде неприятных и слабых болевых ощущений (чувство тяжести, распирания, неловкости, болезненности при жевательной нагрузке на зуб).
Хронический периодонтит может длительно себя не проявлять и обнаруживаться случайно на рентгеновском снимке при лечении соседних зубов.
Лечение
Методы лечения периодонтита делятся на терапевтические и хирургические. В результате применения одних методов достигается ликвидация воспалительного очага в периодонте, в результате применения других — ликвидация зуба.
Хирургические методы лечения периодонтита
В случаях, когда терапевтическое лечение периодонтита не даёт результатов или по каким-то причинам невозможно, прибегают к хирургическому лечению.
Объективные причины невозможности терапевтического лечения — это, например, деструкция костной ткани у верхушки корня больших размеров; наличие околокорневых кист зубов; непроходимость корневых каналов. Субъективные причины — это, например, непроходимость канала по причине застрявшего в канале отломка эндодонтического инструмента.
Радикальное хирургическое лечение периодонтита заключается в удалении больного зуба. Если обстоятельства позволяют, зуб стараются не удалять полностью, а проводят зубосберегающую хирургическую операцию – резекцию верхушки корня зуба.
Терапевтические методы лечения периодонтита в нашей клинике
Терапевтическое лечение периодонтита начинается с механического удаления инфицированного дентина (твёрдая ткань внутри зуба) с внутренних стенок корневого канала. Для этого специальными эндодонтическими инструментами удаляется слой внутренних тканей канала. В ходе механической обработки корневой канал многократно промывается растворами антисептиков: гипохлоридом натрия, хлоргексидином. Улучшить качество антисептической обработки позволяет специальный ультразвуковой наконечник: под действием высокочастотных колебаний антисептик в корневом канале глубже проникает в ткани корня зуба и лучше уничтожает инфекцию.
Дополнительным эффективным методом лечения периодонтита является применение лазерных технологий: в просвет корневого канала вводится световод, и там внутри всё облучают. Лазерное излучение тоже неплохо убивает микробов и, совместно с другими методами, даёт хороший результат при лечении периодонтита.
В конце лечения корневой канал плотно пломбируется гуттаперчей.
Терапевтическому лечению поддаются такие формы периодонтита, как гранулирующий периодонтит, верхушечный периодонтит, обострение хронического периодонтита, гранулематозный периодонтит (гранулёма).
При успешном терапевтическом лечении исчезают симптомы периодонтита и восстанавливаются разрушенные ткани периодонта.
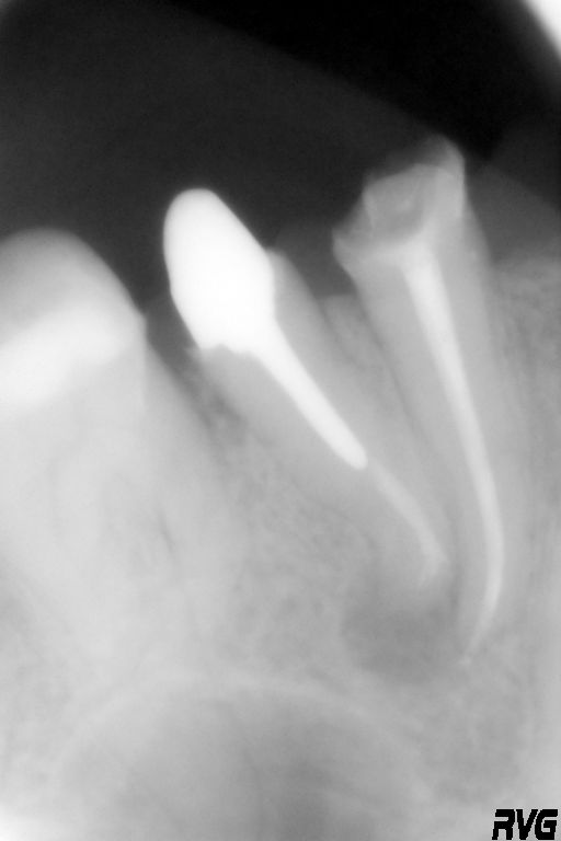
Наличие инструментов в умелых руках – прибора для определения длины канала, ультразвука, диодного лазера — позволяет успешно проводить лечение периодонтита в одно посещение без применения антибиотиков и противовоспалительных препаратов. Подтверждением тому служит рентгеновский снимок, сделанный через несколько месяцев после окончания лечения (см. снимки с результатами лечения периодонтитов в нашей клинике — на этой странице справа).

